D&N UROLOGY CLINIC
요로결석 증상 진단
갑작스러운 혈뇨와 옆구리 통증,
혹시 요로결석이 의심되시나요?
야간/주말/공휴일 요로결석 쇄석 치료
대학병원 수준최신식 첨단 체외 충격파 쇄석 설비
요로결석의 증상
요로결석의 증상은 결석이 어디에 생겼느냐에 따라 달라지는데
통증, 오심, 구토, 혈뇨가 주요 증상입니다.
비뇨기계의 다양한 위치에 발생한 결석
요로결석의 다양한 증상
심한 측 복부 통증(옆구리 뒤쪽)
요로결석이 생기면 가장 흔하게 나타나는 증상입니다. 주로 옆구리 뒤쪽에서 느껴지며, 진통제로도 잘 없어지지 않을 만큼 심한 통증이 발생합니다.
메스꺼움과 구토
일부 통증이 심한 사람들의 경우 메스꺼움과 구역감,​ 구토까지 동반될 수 있습니다.​
혈뇨
눈에 보이지 않는 현미경적 혈뇨부터 눈에 보이는 혈뇨까지 다양하게 나타날 수 있습니다.
요로결석 위치에 따른
통증의 양상
요로결석은 통증의 위치나 증상이 두드러지기
때문에 증상만으로 결석을 어느 정도 짐작할 수
있습니다. 결석의 위치와 크기를 파악하여야
구체적인 치료 계획을 세울 수 있으므로,
다음과 같은 검사 과정을 거치게 됩니다.
  • 01 신장결석 -대개 통증이 없습니다. 신배를 막고 있는 결석인 경우 측 복부에 둔탁한 통증이 약하게 있을 수 있습니다.
  • 02 상부요관결석 -측 복부 통증(옆구리 뒤쪽) 이 생기며 동 측 고환으로 향하는 방사통이 생길 수 있습니다.
  • 03 중부요관결석 -측 복부 통증(옆구리 뒤쪽)이 생기며 동 측 하복부로 향하는 방사통이 생길 수 있습니다.
  • 04 하부요관결석 -측 복부통증(옆구리 뒤쪽)이 생기며 동 측 음낭(여성은 대 음순)으로 향하는 방사통이 생길 수 있습니다. 방광 자극 증상으로 빈뇨, 잔뇨감, 배뇨통이 생길 수 있습니다.
요로결석 진단 방법
  • 소변검사, 혈액검사 소변의 색깔과 냄새를 확인하고, 눈으로 보이는 혈액이 섞여 있지 않더라도 현미경으로 정상적으로 있어서는 안 될 적혈구가 소변에 섞여 나오지 않는지를 확인합니다.
  • 복부 방사선 촬영 복부의 X선 사진으로 대부분의 신장에 생긴 결석을 발견할 수 있으며 신장 결석의 위치와 크기를 알 수 있습니다. 그러나 일부 특정한 성분(요산)으로 구성된 결석은 방사선을 투과시키므로 방사선 검사에서 발견이 되지 않을 수 있습니다.
    복부 방사선 촬영에서 발견된 신장 결석
  • 복부 초음파 초음파검사를 통해서는 결석을 직접 확인할 수도 있고, 또 신장의 수신증과 같은 결석으로 인한 이차적인 변화를 확인할 수 있어 요로결석 진단에 있어서 유용한 검사입니다.
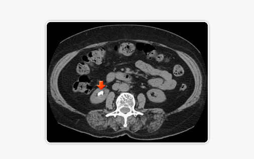
  • 복부 전산화 단층촬영(CT) 급성기의 신장 결석과 비뇨기계 결석을 찾는데 크게 도움이 되는 검사입니다. 비교적 크기가 작은 결석도 잘 찾을 수 있으며, 성분과 무관하게 촬영 기계의 해상도에 따라 일정 크기 이상의 모든 결석의 위치와 크기를 확인할 수 있습니다.
    신장결석의 CT 소견
  • 요로 조영술 이 검사는 정맥을 통하여 방사선 검사에서 하얗게 보일 수 있는 조영제라는 약물을 투여한 후 이 조영제가 콩팥으로 걸러져 요관, 방광, 요로를 통과하는 동안 방사선 검사를 시행하는 것입니다. 요로조영술은 신장 결석의 위치를 아는데 매우 유용한 검사이며, 만약 결석이 소변의 흐름을 막은 경우는 이에 따른 비뇨기계의 변형을 알아보는 데 도움이 됩니다. 최근에는 컴퓨터단층촬영(CT)이 많은 경우에 이 검사를 대체하고 있습니다.
    신장결석의 CT 소견

QUICK
MENU

TOP

  • 네이버톡톡
  • 블로그
  • 오시는길
  • 카톡상담